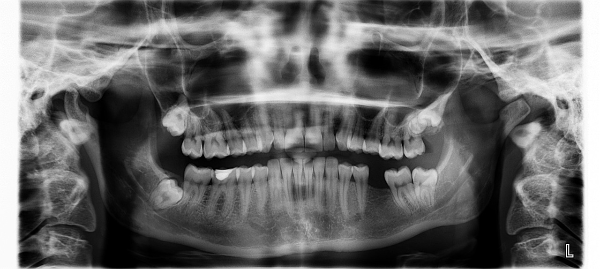
안녕하세요 민트언니 민대표입니다. 오늘은 건강한 치아를 위한 치주질환 개선법에 대해 알아보겠습니다.

치주 질환의 이해: 원인과 증상
치주 질환은 치아 주변 조직인 잇몸과 지지조직에 영향을 주는 염증성 질환입니다. 주로 불규칙한 칫솔질이나 충분하지 않은 구강 위생 등으로 인해 발생할 수 있습니다. 치주 질환은 크게 gingivitis(치은염)와 periodontitis(치주염)로 나뉩니다.
원인:
- 미생물 감염:
- 세균이 치아 주변에 축적되어 치아와 잇몸에 염증을 일으킴.
- 흡연:
- 담배를 피우는 경우 치주 질환의 위험이 증가함.
- 유전적 요인:
- 일부 사람들은 특히 유전적으로 치주 질환에 더 취약할 수 있음.
- 항진성 질환:
- 당뇨병, 간질환과 같은 항진성 질환은 치주 질환의 위험을 증가시킬 수 있음.
- 호르몬 변화:
- 임신, 생리, 통경기와 같은 호르몬 변화는 치주에 영향을 미칠 수 있음.
- 부정확한 구강 위생:
- 부족한 칫솔질, 충분하지 않은 치아 간의 치석 제거 등의 구강 위생 문제.
증상:
- 치은 출혈:
- 일반적인 초기 증상 중 하나. 칫솔질이나 치석 제거 시에도 출혈이 발생할 수 있음.
- 붓은 치은:
- 치주 염증으로 인해 치은이 붓게 되며 붉어질 수 있음.
- 치아 간격 확대:
- 치주 염증이 진행되면 치은이 치아에서 떨어져 치아 간격이 확대될 수 있음.
- 치아 운동감:
- 치주 질환으로 치은이 후퇴하면서 치아가 민감해질 수 있음.
- 악취:
- 치주 질환으로 인해 발생하는 세균이 악취의 원인이 될 수 있음.
- 치아 이탈:
- 치주 질환의 심각한 형태인 periodontitis에서는 치아가 이탈할 수 있음.
치주 질환은 초기에는 치은염으로 시작할 수 있지만, 무시하거나 적절한 치료를 받지 않으면 치주염으로 진행될 수 있습니다.
치아와 건강: 치아의 중요성
치아는 우리 전반적인 건강에 매우 중요한 역할을 합니다. 이들은 음식을 먹을 때 사용되는 주 도구이며, 올바른 치아 관리는 소화와 영양 흡수에도 영향을 미칠 수 있습니다. 여기에서 치아의 중요성에 대해 알아봅시다:
- 음식 섭취 및 소화:
- 치아는 음식을 갈아먹는데 필수적인 역할을 합니다. 올바르게 갈아먹는 것은 소화를 촉진하고 영양소의 흡수를 돕습니다.
- 말하기 및 언어 개발:
- 치아는 말하기와 언어 개발에도 영향을 미칩니다. 올바른 치아 구조는 명확한 발음과 언어 개발을 지원합니다.
- 얼굴 형성 및 외모:
- 치아는 얼굴 형성에 중요한 역할을 합니다. 올바른 치아 배열은 얼굴 구조를 유지하고 외모에 긍정적인 영향을 미칠 수 있습니다.
- 자신감 및 심리적 건강:
- 건강한 치아는 밝은 웃음을 유지하고 자신감을 높일 수 있습니다. 헤어스타일이나 의류와 마찬가지로, 치아의 상태도 개인의 외모와 자아 이미지에 영향을 줄 수 있습니다.
- 전반적인 건강과 연결:
- 치아 건강은 심지어 심장 질환 및 당뇨병과 같은 다른 질병과도 연결될 수 있습니다. 치주 질환은 심혈관 질환과 연관이 있을 수 있으며, 임신 중에 치아 건강에 대한 적절한 관리는 태아의 건강에도 영향을 미칠 수 있습니다.
- 올바른 발음:
- 올바른 치아 구조는 정확한 발음을 가능하게 하며, 말의 명확성과 이해도에 기여합니다.
- 치아 감염 예방:
- 정기적인 칫솔질, 치실 사용, 구강 검진 등을 통해 치아를 올바르게 관리하면 치아 감염을 예방할 수 있습니다.
정기적인 구강 관리, 치과 검진 및 건강한 식습관을 통해 치아를 건강하게 유지하는 것은 전반적인 건강과 웰빙에 긍정적인 영향을 미칩니다.
치아 조기 사상: 왜 중요한가?
치아 조기 사상은 적절한 구강 건강을 유지하고 올바른 발육과 발달을 지원하는 데 매우 중요합니다. 아래는 치아 조기 사상의 중요성에 대한 몇 가지 이유입니다:
- 언어 발달에 영향:
- 언어 발달은 어린이의 인지 발달에 매우 중요합니다. 치아가 없거나 이상이 있을 경우 발음에 어려움을 겪을 수 있으며, 올바른 발음을 개발하는 데 어려움을 겪을 수 있습니다.
- 올바른 음식 섭취:
- 올바른 음식을 섭취하려면 치아가 필요합니다. 어린이의 발육과 건강한 신체를 위해 다양한 영양소가 포함된 식품을 섭취할 수 있도록 치아는 적절하게 사상되어야 합니다.
- 얼굴 및 턱의 발육과 형성:
- 올바른 치아 사상은 얼굴과 턱의 발육과 형성에 영향을 미칩니다. 올바른 위치에 있는 치아는 얼굴 구조를 지탱하고 형성하는 데 기여합니다.
- 치아 감염 및 질환의 예방:
- 치아가 올바로 자라면 치주 질환이나 치아 감염의 위험이 줄어듭니다. 조기 사상을 통해 구강 위생을 적절하게 유지할 수 있습니다.
- 자아 이미지 및 심리적 영향:
- 아름다운 웃음은 자아 이미지와 심리적 안정감에 긍정적인 영향을 미칠 수 있습니다. 건강하고 깨끗한 치아는 자신감을 높여주며, 사회적 상호작용에도 도움을 줄 수 있습니다.
- 구강 건강의 유지:
- 조기에 치아가 나타나면 구강 위생 관리를 시작할 수 있습니다. 정기적인 칫솔질, 치실 사용, 치과 검진 등을 통해 치아를 건강하게 유지하고 치아 감염을 예방할 수 있습니다.
이러한 이유로 인해 어린이의 치아 조기 사상은 건강한 발육과 발달에 중요한 역할을 합니다.
꼼꼼한 치아 관리 방법
꼼꼼한 치아 관리는 구강 건강을 유지하고 치아 질환을 예방하는 데 중요합니다. 아래는 꼼꼼한 치아 관리를 위한 방법들입니다:
- 정기적인 칫솔질:
- 부드러운 칫솔을 사용하여 아침과 저녁에 정기적으로 칫솔질을 합니다. 칫솔은 3-4개월마다 교체해야 하며, 누구나 사용하도록 개인용으로 따로 보관하세요.
- 치아 간 칫솔질:
- 치아와 잇몸 사이의 공간을 꼼꼼하게 칫솔질해야 합니다. 치아 간 칫솔이나 치실을 사용하여 치아 사이의 치석과 음식 부분을 깨끗이 제거하세요.
- 적절한 칫솔 선택:
- 칫솔의 크기와 모양은 개개인에 따라 다르므로, 본인에게 적합한 크기와 모양의 칫솔을 선택하세요.
- 치약 사용:
- 칫솔질 시에는 치약을 사용하세요. 치약은 치아를 깨끗이 해주고 균형 잡힌 구강 환경을 유지합니다.
- 정기적인 치과 검진:
- 정기적인 치과 검진을 받아야 합니다. 치과에서는 치아와 잇몸 상태를 평가하고 문제가 발견되면 조기에 치료할 수 있습니다.
- 물을 이용한 칫솔질:
- 식사 후에는 물을 이용해 입 안을 씻어내는 것이 좋습니다. 특히 당분이 많은 음식을 섭취한 경우에는 칫솔질 전에 물을 활용하여 부스러기를 희석시키세요.
- 음식 및 음료 제한:
- 과도한 당분이나 색소가 든 음식이나 음료를 제한하세요. 커피, 차, 와인 등이 치아에 얼룩을 일으키고 치아를 변색시킬 수 있습니다.
- 치과 위생사 상담:
- 치과 위생사에게 칫솔질 및 치아 관리에 대한 조언을 구하세요. 개인에 맞는 구강 위생 습관을 익히고 유지할 수 있습니다.
- 흡연 및 알코올 제한:
- 흡연과 과도한 알코올 섭취는 구강 건강에 부정적인 영향을 미칠 수 있으므로 가능한 제한하는 것이 좋습니다.
- 안전한 치아 건강 관리:
- 치아를 물어봐주거나 활용하는 도구로 치아를 부러뜨리거나 손상시키는 행동을 피하세요.
꼼꼼한 치아 관리 습관을 가지면 구강 건강이 유지되고, 치아 질환의 발생을 예방할 수 있습니다.
치아 건강에 좋은 음식들: 치아 건강에 도움을 주는 식품 선택
치아 건강을 지키기 위해서는 올바른 식품 선택이 중요합니다. 아래는 치아 건강에 도움을 주는 식품들입니다:
- 치아를 닦아주는 식품:
- 당근과 사과: 식이섬유를 풍부하게 함유하고 씹을 때 치아를 자연스럽게 닦아주는 식품입니다.
- 생야채: 상추, 케일, 시금치와 같은 생야채는 씹으면서 치아를 자극하고 치아를 깨끗하게 유지하는 데 도움을 줍니다.
- 칼슘을 공급하는 식품:
- 우유 및 유제품: 칼슘은 치아와 뼈 건강을 지원하는 데 중요하며, 우유와 유제품은 이를 공급합니다.
- 초콜릿 우유: 칼슘뿐만 아니라 비타민 D와 인도 함유하고 있어 치아를 지키는 데 도움이 됩니다.
- 물과 녹차:
- 물: 물은 입안의 세균을 희석시키고 식사 후에 입을 씻어내는
- 데 도움이 됩니다.
- 녹차: 폴리페놀이라는 성분이 치아와 잇몸 건강을 증진시키는 데 도움이 됩니다.
- 식이섬유가 풍부한 식품:
- 겉질식품: 온전한 곡물과 견과류는 식이섬유를 풍부하게 함유하고 치아를 강화하는 데 도움이 됩니다.
- 프로바이오틱스를 포함한 식품:
- 요구르트: 프로바이오틱스가 치아와 잇몸의 건강을 증진시키는 데 도움이 됩니다.
- 비타민 C가 풍부한 과일:
- 딸기, 오렌지: 비타민 C는 잇몸 조직을 강화하고 출혈을 예방하는 데 도움이 됩니다.
- 닭고기와 새우:
- 닭고기와 새우: 단백질이 풍부하게 함유되어 있으며, 치아와 잇몸을 강화하는 데 도움이 됩니다.
- 생선과 올리브 오일:
- 생선: 오메가-3 지방산이 치아와 잇몸의 염증을 줄이고 치아를 지키는 데 도움이 됩니다.
- 올리브 오일: 항염증 효과가 있어 잇몸 건강을 증진시키는 데 도움이 됩니다.
치아 건강을 지키기 위해서는 이러한 식품들을 포함한 다양한 식단을 유지하고, 칫솔질과 치과 정기 검진을 통해 구강 위생에 신경 쓰는 것이 좋습니다.
치주 질환으로부터 아이들을 보호하는 방법
치주 질환은 어린이의 구강 건강에 영향을 미칠 수 있는 중요한 문제입니다. 아이들을 치주 질환으로부터 보호하기 위해 다음과 같은 방법들을 고려할 수 있습니다:
- 정기적인 치과 검진:
- 아이들은 치아가 발생하기 시작하는 6개월 이후부터 정기적인 치과 검진을 받아야 합니다. 이를 통해 초기 치주 질환의 징후를 조기에 발견하고 치료할 수 있습니다.
- 올바른 칫솔질 교육:
- 어린이에게 올바른 칫솔질 기술을 가르쳐 주세요. 부모나 보호자가 아이와 함께 칫솔질을 하는 것도 좋은 방법입니다.
- 소프트 칫솔 사용:
- 어린이용 소프트 칫솔을 선택하여 치아와 잇몸을 부드럽게 다룰 수 있도록 하세요.
- 치실 사용 가르치기:
- 어린이가 치아 간 청결을 위해 치실을 사용하는 방법을 가르쳐 주세요.
- 규칙적인 칫솔질 습관:
- 아침과 저녁으로 정기적으로 칫솔질을 하도록 습관을 만드세요. 특히 취침 전에 칫솔질을 하는 것이 중요합니다.
- 건강한 식습관 유도:
- 당분이 많은 음식이나 음료를 제한하고, 신선한 과일, 채소, 치즈, 견과류 등을 포함한 건강한 식습관을 유도하세요.
- 물 마시기 권장:
- 물을 마시는 습관을 유도하여 입안의 세균을 희석시키고 치아를 보호하세요.
- 치과 위생 수칙 가르치기:
- 어린이에게 치과 위생 수칙을 가르쳐 주세요. 예를 들어, 칫솔이나 치실, 칫솔질 판을 공유하지 않도록 하고, 정기적인 치과 검진을 받도록 유도하세요.
- 탄수화물 제한:
- 과도한 설탕 및 탄수화물 섭취는 치주 질환의 위험을 증가시킬 수 있으므로 이를 제한하는 것이 중요합니다.
- 모델이 되기:
- 부모나 보호자는 자신도 건강한 구강 습관을 보여주면서 어린이에게 모델이 되어 주세요.
이상으로 치주질환의 전반적인 이야기와 치주질환 예방법에 대해 알아보았습니다.
'건강' 카테고리의 다른 글
| 건강 정보: 봉소염 알아보기 (0) | 2024.02.17 |
|---|---|
| 여성 건강의 최전선: 유방암 팩트와 대응 전략 (1) | 2024.02.15 |
| 이석증, 그것이 알고싶다: 증상과 치료에 대한 모든 것 (1) | 2024.01.05 |
| 당뇨와의 전쟁: 이기는 방법을 찾아서 (1) | 2024.01.04 |
| 허리디스크라고 두려워 하지 마세요: 질병으로부터 안전하게 보호받는 방법 (0) | 2024.01.03 |